Sunday, 27 March 2016

27.03.2016

Aloha guys!

Just went for my dental appointment yesterday and the dentist told me that we are good to remove the braces next appointment which is on 30th April! SO HAPPY! I am so excited to show you guys how I look without my braces. Even though I am not exactly satisfied with it because it is not as nice as I had wanted it to be but well since I can remove it, why not? I seriously can't wait to put on those retainers.

Btw the wisdom teeth are healing well and I am so relieved to know that! Feel free to leave any questions below with regards to wisdom teeth or braces. Will be glad to share with you guys! :)

Check back soon yeah guys!

Braced on,
J.

Wednesday, 16 March 2016

16.03.2016

Hello guys!

Been a while since my last post and I am here to share with you the biggest decision I have made thus far. I've just gotten all 4 of my wisdom teeth removed under LA today. Yes, you're probably thinking that I am crazy but I honestly don't want to deal with the pain over and over again and have them removed one by one. Even the surgeon was puzzled and thought I was crazy but yeah I feel hella brave for doing that and was pretty sure I made the right decision until just now.. I had my first gargle hours after the removal and it hurt like... whoa. I literally froze there. But it was pretty disgusting to see how the green solution turned black after spitting them out.

Anyways. Just in case you were wondering why the sudden decision to have it removed today.. It was because i was experiencing this pain and swelling over on my right lower cheek and jaw. It was quite bad because I had difficulty opening my mouth without feeling the tension at the temporomandibular joint. So apparently I had an impacted and infected wisdom tooth and have decided to use my free day to consult the dentist at the hospital just in case I needed to undergo GA.

I was advised by the dentist during consultation that it would be good to have them removed (depending if I can open my mouth for the surgery to take place) but i can also go home with antibiotics but that is just a temporary relieve and remission but it can come back any time and can be unexpected. So we very quickly made the decision to remove all of them and was immediately scheduled for the surgery at 330pm (so lucky that they have a slot for me so that I don't have to make another trip down).

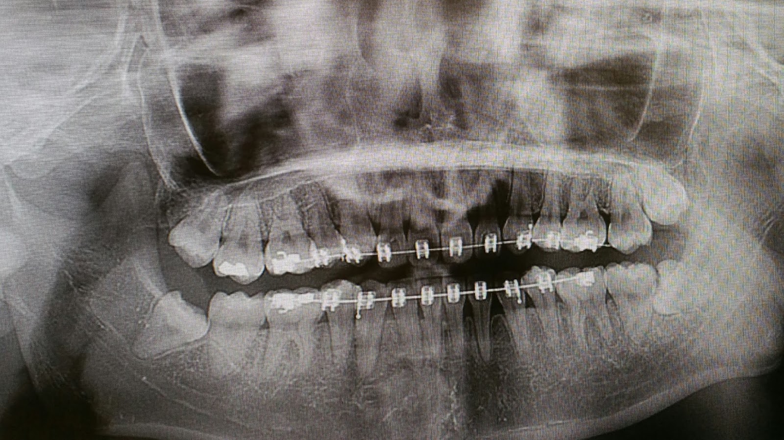
I was also very lucky to have met Dr Noah because he was very gentle and patient, and nice to talk to. Apparently he did my boyfriend's wisdom teeth extraction too (talk about coincidence). Okay so I needed a lot of calming down because my BP and HR was high and i had just taken 2 puffs of ventolin (the nurse was worried I might get an asthma attack during the procedure so yeah just a preventive measure) and he tried to be as gentle and offered a lot of care and concern. He joked with me and had a small conversations with me while his nurses get me settled. He was very surprised that I wasn't offered GA (i guess partly because i wanted them removed today) and was even more surprised to know that I settled with LA when i wanted to remove all 4 of them today. I am also a very impatient person who wants to get things done asap so yeah, why not? I really recommend people going to the hospital even if it meant that you have to do a walk-in (even better if you can wait and have an appt scheduled for you) because my sister recently went for hers at the clinic and ONE TOOTH cost $1000++ and my mum was told that the upper one which is scheduled to be removed in about 1 or 2 more days time cannot be deducted from medisave. That's bullshit really. I had all 4 extracted at $1200+ and it is fully deductible via medisave (thank god for medisave). I only had to pay a cash of $70 for both X-ray and consultation. The procedure included all the drugs and consumables. I think the procedure was quite fast but it was a little scary because I was shivering throughout especially when he drilled my teeth. The upper one was quite nicely extracted. I'd love to show you my teeth but it will probably gross you guys out but I will keep it at the bottom of this post along with my x-ray.
He kept assuring me, informing me of what's to come and made sure I was okay. He was also very kind to give me the face mask I requested because my face was swollen like a pig head with the gauzes. I was also afraid of the drooling that might just scare the public away so yup. They checked my BP again post-procedure and i was shown a video on care for post-wisdom teeth extraction, and I am good to go.

My entire mouth was still numbed until about 1 hour ago. So it took about 1.5-2 hours for the LA to wear off. I was instructed to take the Arcoxia asap just in case the pain kicks in. So I took it just before my dinner. It was sucky because there was pain whenever I try to swallow but apparently it is normal because the ?esophageal muscle is swollen. I thought it was because I probably swallowed the broken chips from the drilling. HAHAHA. Currently I (feel) that i look like agnes because of the swelling but i have been warned by my lovely boyfriend that I will look very swollen tomorrow. How nice. I have been slapped with a 6 days MC but I might just go back to school tomorrow depending on the state of swelling and of course, pain.

Oh yes, just in case you are wondering, I've been prescribed with the following medications:
- arcoxia
- dexamethasone
- antiseptic mouthwash (hate the mouthwash. it's painful and disgusting)
- clindamycin

Every of such procedure makes me feel very blessed and loved because my grandma called up my mum and they both came down to the hospital for me BUT I was already home. HAHAHA so i went out to look for them and had a nice bowl of numb and tingling fish porridge and a glass of ice cold honey green tea at HK Cafe. I guess as long as it isn't GA you are good to go anywhere after the procedure but just remember to follow their instructions closely as to when to rinse or gargle your mouth so you don't dislodge the clot and also to avoid the hot food and beverages. Just whack the painkillers and complete your antibiotic and you should be fine.

Just hope that it will heal well and no more bad breath from food trapping at my second molar and the impacted teeth. Hehehe.

Braces appt next saturday so i will keep you guys posted again soon.

Braced,
J.


Friday, 4 March 2016

5.3.2016

Hello guys,

It's been sometime since I was here for an update. I've been really busy with college :(
Hope all of you are doing great thus far!

Apparently I still have my braces on as one of my canine is still rotated and I still have to leave it on for a while more. Actually I am not sure if it is possible to achieve perfect curve because I still don't see it and really hope that I will be able to achieve it by the time my braces are ready to be removed. I still have about 2 visits or so before it will finally come off. Can't wait for the retainer days to arrive!

I am also quite disturbed by my wisdom teeth. Right in the beginning before I had my braces on, my dentist told me that if they don't come out by now, they will never be out but hey all 4 of them are revealing themselves! It is quite disgusting because of the smell and taste from food particles that can't be removed from those wisdom tooth that are partially out. I am so frustrated because I don't know how to clean it. Flossing and attempts to brush it out doesn't help a single bit :( It's as if they are way deep inside the gums. I am also concerned that these wisdom teeth will affect all of my teeth post-braces like they will push against all my nicely aligned teeth and become crooked again.

Hopefully everything will turn out well.
My next visit will be near the end of the month so hopefully by then I have good news to share with you guys.

Brace on,
J.